신체 어디서든 발생할 수 있는 통증, 원인에 알맞은 올바른 치료법이 필요합니다.

척추뼈들 사이에는 척추체 사이 관절의 충격을 흡수하고, 척추의 움직임을 원활하게 하기 위해 만들어진 쿠션과 같은 구조물인 디스크가 다른 한쪽으로 밀려나게 되어 허리 신경 뿌리를 눌러 발생하는 질환입니다.

목을 구부려서 일하는 직업에서는 특히 목디스크가 흔히 발생하며 목이 뻣뻣해지거나, 어깨와 팔, 손가락이 저리거나 아프기도 하며, 등 뒤나 견갑골 사이에서도 통증을 발생시킵니다.

척추관 협착증이란 신경관 주변을 둘러싸고 있는 디스크, 인대, 뼈, 관절 등이 신경관 안으로 자라 들어오면서 신경이 지나가는 통로가 구조적으로 좁아지는 병을 말합니다.
허리 디스크, 퇴행성 디스크, 척추관 협착증, 수술 후 재활치료
목 디스크, 거묵목 증후군, 경추성 두통
오십견, 회전근개 파열, 석회성 건염, 충돌 증후군, 근막 통증 증후군
테니스엘보, 골프엘보
손목터널 증후군, 손저림
퇴행성 관절염, 반월상연골 파열, 십자인대 파열
척수신경, 말초신경 등 신경계에 생기는 다양한 질환을 치료합니다.

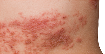
보통 수일 사이에 피부에 발진과 특징적인 물집 형태의 병적인 증상이 나타나고 해당 부위에 통증이 동반됩니다. 치료 시기를 놓치면 극심한 대상포진 후 신경통의 위험이 있으므로 미리 접종을 통해 예방하는 것이 좋습니다.

전신에 걸쳐 통증이 부분적으로 나타나는 질환입니다. 호르몬 변화, 근육 이상, 신경전도 물질 이상 등의 이유로 나타납니다. 어떤 한가지 치료나 약물에 대한 효과를 기대하기 여렵고 환자 개개인이 자신의 병을 이해하고 생활 환경을 조절하는 것이 매우 중요합니다.

근육이 수축된 상태로 있게 되면 근육 내 분포하는 신경이 눌리게 되고 혈관이 압박됨으로 인해 근육 내 생긴 통증 물질들이 배출되지 못하고 근육 내 축적됩니다. 근육수축으로 근육이 부착된 골막이 자극을 받음으로 통증이 유발됩니다.

주로 30~60세 사이의 여성에게 많이 발생하는 질환으로 단단한 횡 수근인대에 의해 형성된 수근관 공간이 감소하거나 수근관 내 조직이 증가하여 통증을 유발하는 질환입니다. 엄지, 중지, 손바닥 부위에서 저리고 타는듯한 통증과 손 저림 현상이 특징입니다.